Doença Arterial Aterosclerótica

Artérias são os vasos responsáveis por levar o sangue do coração para cada órgão e tecido de nosso corpo, exercendo função de irrigação e nutrição aos órgãos e tecidos…
Trombose Venosa Profunda

trombose venosa profunda (TVP) é a doença de alta prevalência causada pela coagulação do sangue no interior das veias – vasos sangüíneos responsáveis pelo retorno venoso…
Varizes e Doenças Venosas

As veias são responsáveis por levar o sangue do corpo de volta para o coração, desde a região do tornozelo até a porção intratorácica. Nos membros inferiores as veias possuem válvulas que impedem o refluxo do sangue…
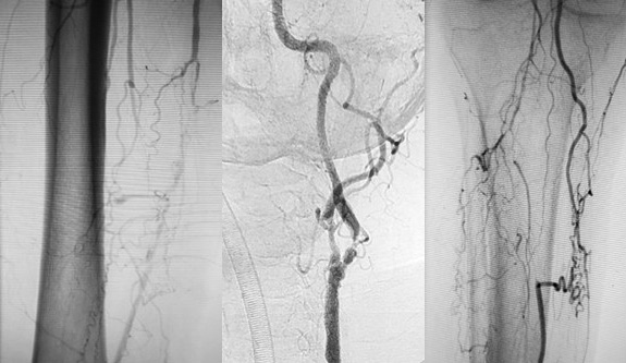
Aneurismas Arteriais

caracterizados pela dilatação de uma ou mais artérias, excedendo em 50% o diâmetro normal do vaso. Dentre as suas principais causas encontram-se o tabagismo….
tags: angiologista vila olimpia, aplicacao nas varizes vila olimpia, aplicações de varizes vila olimpia, cirurgia de varizes pelo convenio vila olimpia, cirurgia de varizes vila olimpia, cirurgia vascular varizes vila olimpia, cirurgia vascular vila olimpia, clinica com medico varizes vila olimpia, clinica com medico vascular vila olimpia, clinica de varizes vila olimpia, clinica medica tratar varizes vila olimpia, clinica que faz aplicacao em varizes vila olimpia, clinica tratamento varizes vila olimpia, clinica tratar varizes vila olimpia, clinica vascular vila olimpia, consultorio especializado em varizes vila olimpia, consultorio medico vascular vila olimpia, consultorio para aplicação varizes vila olimpia, consultorio para tratar varizes vila olimpia, consultorio que faz microcirurgia de varizes vila olimpia, consultorio vascular vila olimpia, escleroterapia vila olimpia, especialista em varizes vila olimpia, medico angiologista vila olimpia, medico bom em microcirurgia de varizes vila olimpia, medico cirurgia varizes vila olimpia, medico de varizes vila olimpia, medico especializado em varizes vila olimpia, medico para tratar varizes vila olimpia, medico que faz aplicação de varizes vila olimpia, medico que faz tratamento em varizes vila olimpia, medico tratamento varizes vila olimpia, medico varizes vascular vila olimpia, medico varizes vila olimpia, medico vascular bradesco vila olimpia, medico vascular cabesp vila olimpia, medico vascular cassi vila olimpia, medico vascular convenio camed saude vila olimpia, medico vascular convenio cet vila olimpia, medico vascular convenio funcesp vila olimpia, medico vascular convenio mediservice vila olimpia, medico vascular convenio petrobras vila olimpia, medico vascular convenio porto seguro vila olimpia, medico vascular convenio sptrans vila olimpia, medico vascular em vila olimpia, medico vascular saúde caixa vila olimpia, medico vascular vila olimpia, microcirurgia de varizes vila olimpia, microcirurgia medico de varizes vila olimpia, rafael soares vascular vila olimpia, tratamento de varizes vila olimpia, tratamento para varizes vila olimpia, tratamentos de varizes vila olimpia, varizes consultorio vila olimpia, varizes medico para tratar vila olimpia, varizes tratamento vila olimpia,
